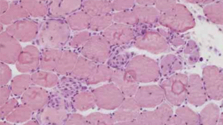
脂質代謝 壊死性自己免疫性ミオパチーの臨床像:スタチン関連例を含む包括的検討 はじめに 壊死性自己免疫性ミオパチー(necrotizing autoimmune myopathy: NAM)は、近年注目を集める自己免疫性筋疾患の一つです。筋生検において著明な筋線維壊死と再生がみられる一方で、炎症細胞浸潤がほとんど認め... 2025.10.05 脂質代謝
脂質代謝 スタチン関連自己免疫性ミオパチー NEJM(2016)のレビュー論文「Statin-Associated Autoimmune Myopathy」より 序論 スタチンは心血管疾患予防において最も広く処方されている薬剤であり、世界規模で数億人が服用しています。一般的には安全性が高く、副作用は軽度の筋肉痛や筋力低下にとどまる場合が多いです。しかし、その極めて稀な副作用として、自己免疫性壊死性ミ... 2025.10.04 脂質代謝
脂質代謝 スタチン関連免疫介在性壊死性ミオパチー(statin-associated IMNM) 序論 スタチンは世界で最も広く使用される脂質低下薬であり、心血管疾患の一次・二次予防における基盤的治療薬です。一般的な副作用として筋肉症状が知られており、スタチン使用者の5〜10%に筋痛や筋力低下がみられることが報告されています。しかし、そ... 2025.10.04 脂質代謝
中枢神経・脳 スタチン使用がくも膜下出血発症リスクを低減し得る はじめに くも膜下出血(SAH)は、致死率が高く、救命できても重篤な後遺症を残すことが多い脳血管疾患です。主因は脳動脈瘤の破裂ですが、未破裂の段階で発見・外科的処置できるケースは限られます。近年、脂質低下薬として広く用いられるスタチンが、血... 2025.08.11 中枢神経・脳脂質代謝
脂質代謝 スタチンはうつ症状を改善するのか? はじめに:なぜ「うつ」と「脂質」に注目するのか 大うつ病性障害(major depressive disorder:MDD)と肥満は、いずれも世界的に蔓延している非感染性疾患であり、患者の生活の質を著しく損ない、予後にも大きく影響します。両... 2025.06.09 脂質代謝
脂質代謝 慢性腎臓病(CKD)における脂質異常症と心血管リスク はじめに 慢性腎臓病(CKD)は、単なる腎機能の低下にとどまらず、心血管疾患(CVD)発症の重要な温床として広く認識されています。特に、脂質異常症の特徴とその管理がCKD患者の予後を大きく左右することが、近年の研究により明らかになってきまし... 2025.05.29 脂質代謝腎臓内科
脂質代謝 LDLコレステロールが低いと出血しやすい:静脈血栓塞栓症患者の解析 はじめに:LDL-Cは善か、悪か――抗凝固療法時代の新たな視点 低密度リポ蛋白コレステロール(LDL-C)は、動脈硬化性疾患の主要な危険因子として長らく知られ、スタチンやPCSK9阻害薬による低下療法が確立されています。しかし、LDL-Cの... 2025.05.20 脂質代謝
脂質代謝 “善玉”コレステロールのHDL-Cが正常値や高値であっても、それは機能不全HDLで「善玉」ではないかもしれない。 はじめに:HDLの多面的な役割 高密度リポ蛋白(High density lipoprotein;HDL)は従来、「善玉コレステロール」として知られ、動脈硬化に対する保護作用を持つと考えられてきました。HDL粒子とその主要な構成タンパク質で... 2025.05.15 脂質代謝
脂質代謝 高密度リポ蛋白(HDL)の多様性と逆コレステロール輸送における機能役割 はじめに 高密度リポタンパク質(High density lipoprotein;HDL)は長年「善玉コレステロール」として知られ、血中濃度が高いほど心血管疾患リスクが低いことが疫学的に示されてきました。しかし近年、HDLの「量」だけでなく... 2025.05.14 脂質代謝
脂質代謝 HDLの分類と組成(医療者向け) 高密度リポタンパク(High density lipoprotein;HDL)は、長らく「善玉コレステロール」として知られ、動脈硬化抑制に関与する主要な血漿リポタンパクの一つです。その抗動脈硬化作用は、単なる血中HDLコレステロール(HDL... 2025.05.14 脂質代謝